
Introduction
Share
The pathophysiology of the aging skin is complex. All layers of the skin are affected including the epidermis, the dermis, and subcutaneous fat. Each of the structures undergoes progressive changes that result in the skin exhibiting signs of chronological aging. The aging skin is a key and integral component of the entire aging process although when examining organ systems, the sun-exposed parts of the skin exhibit gross and microscopic alterations that are more dramatic than those seen in other organ systems such as the kidney, lung or the hepatobiliary system. While it is very easy to detect the gross morphologic differences between young versus older skin, a similar obvious chronological discrimination is not observed when examining extracutaneous organs emphasizing the critical role of external environmental triggers in the propagation of extrinsic aging of the facial skin. The hallmarks of skin aging include fine wrinkles and thin skin with diminished subcutaneous fat, manifesting as somewhat hollowed appearing cheeks and eyes. In addition, the skin becomes dry and lacks its natural luster. Hair becomes thinner and has diminished pigment. The skin loses its inherent resilience whereby the laxity produces a sagging appearance most dramatic in proximal extremities and in truncal skin. An accumulation of free radicals and reactive oxygen species is critical to the aging process. As well the repair mechanisms are impaired (Rittie L, Fisher GJ, 2015).
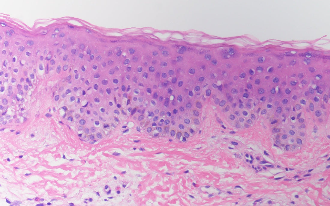
The basal layer of the epidermis is the proliferative component of the epidermis and other layers of the epidermis are non-proliferative. The keratinocyte progressively differentiates into a corneocyte. The corneocytes define the top layer of the skin and fall under the designation of stratum corneum whose main function is a barrier to retain moisture and prevent the entry of external material including fluids through the lipid-rich layers found within the stratum corneum. There is some reduction in the ability to retain moisture with age and as well the lipid production is diminished in the stratum corneum. There is also progressive flattening of the epidermis with loss of the rete ridge pattern. As a result, with age, the epidermis becomes fragile and hence is more susceptible to external injury mediated by shearing and other exogenous adverse stimuli (Li de Q et al, 2003) (Rittie L, Fisher GJ, 2015).
Thermal regulation is also altered by age. With age, there is a reduction in sweating from the eccrine and apocrine glands such that the elderly are very susceptible to heatstroke when there is a heatwave. Pigmentation becomes uneven with age. In younger individuals, melanocytes, the cell that gives rise to melanin pigment, are relatively evenly distributed but with aging the number of melanocytes are decreased. As well there can be very focal areas on the skin that are chronically exposed to sun where melanocyte density is significantly increased. In addition, melanocytes can appear atypical producing a morphology that simulates a significant melanocytic dysplasia most notably early lentigo maligna.
The main structural components of the dermis are elastic tissue, collagen and the glycosaminoglycans represented by hyaluronic acid, chondroitin sulfate, and dermatan sulfate. The elastic tissue can be broken down into the superficial elastic fiber network and the deeper-seated reticular dermal elastic fibers. The basic components of the elastic tissue are elastin and microfibrils. The microfibrils provide the resilience and tautness that one associates with youth and or a youthful appearance while the elastin define the stretchable component of the elastic fibers. The elastic fibers of the superficial papillary dermis exhibit a highly orderly geometric network in the skin and comprise the vertically oriented eulanin fibers and the horizontally positioned oxytalin fibers. As a point of reiteration, these fibers have an almost pure microfibril composition representing an intimate admixture of fibrillin and glycoprotein contributing to the suppleness of youthful skin. A minor component of the dermal matrix, in fact, is elastic tissue while much of the remaining components of the dermis are represented by collagen and hyaluronic acid. A preserved and healthy elastic tissue and collagen plexus is the morphologic essence of the dermis in younger patients without significant cumulative sun exposure. One of the most significant deleterious effects of chronic sun exposure is the disappearance of the microfibril plexus of the papillary dermis due to the digestive effects of metalloproteinases upregulated by ultraviolet light exposure because these fibers are so superficial their disappearance contributes to the appearance of wrinkles and loose skin.
The collagen network defines the main structural component of the dermis whereby most represents type I collagen while type III collagen represents 15%. Collagen like the elastic fibers is elaborated by fibroblasts. Collagen is initially synthesized as procollagen which then is converted into collagen.
Enhanced expression of the matrix metalloproteinase within the skin is a critical inciting trigger to the pathogenesis of normal human skin aging and contributes significantly to ultraviolet irradiation as a factor accelerating skin aging. The metalloproteinases have potent collagenolytic and elastolytic properties whereby enhanced and at times dysregulated expression results in progressive attenuation of the connective tissue matrix of the skin, the sequela of which is lax and wrinkled skin, defining the gross morphologic concept of senescent skin (Reuben PM et al, 2001).
There are certain collagenolytic zinc metalloproteinases that are preferentially upregulated in the skin compared to other metalloproteinases including metalloproteinase 1 (interstitial collagenase), metalloproteinase 8 (neutrophil collagenase), metalloproteinase 9 (gelatinase B) and metalloproteinase 13 (collagenase 3). It has been suggested that there is a minimal role for metalloproteinase 8 in the pathogenesis of both normal skin aging (i.e. intrinsic aging) and photoaging. The main metalloproteinases that result in skin aging are metalloproteinases 1, 9 and 13. It is quite likely that wrinkles most apparent on sun-exposed skin of the face are the result of loss of collagens 1, 3, and 7, the main constituent of anchoring fibrils, along with fibrillin in the superficial dermis of chronically sun-exposed skin, reflecting a reduced production of these matrix protein molecules in concert with upregulation of metalloproteinases, stromelysin A and gelatinase. Free radicals and inflammation are likely additional factors that would accelerate the degradation of the dermal connective tissue fiber matrix (Moe SM et al, 2000) (Sudel KM et al, 2003).
Over and above the critical role of sunblock in reducing the deleterious effects of UVA and UVB radiation, a topical face cream targeting the pathways that lead to metalloproteinase downregulation, reduce inflammation, inhibit irregular melanin production and improve barrier function of the epidermis could have significant beneficial effects and potentially have other factors that could enhance combined epidermal and dermal integrity.
Perhaps one of the first agents shown scientifically to have significant anti-aging effects was the retinoid derivative retinoic acid A. It has been postulated and shown that the retinoids decrease the natural concentrations of tissue metalloproteinases but also upregulate endogenous metalloproteinase inhibitors. Retinoids have the ability to bind specific nuclear receptors belonging to the steroid thyroid superfamily of ligand-specific nuclear transcription factors whereby these receptors are divided into two subtypes: the retinoic acid receptor alpha and retinoic acid receptor gamma which bind tretinoin and secondly the retinoid X receptors alpha, beta, and gamma binding to 9-cis-retinoic acid (Brenneisen P et al, 2002) (Fligiel SE et al, 2003) (Brennan M et al, 2003).
The exact mechanisms by which the retinoids control the metalloproteinase milieu is not completely known although the metalloproteinases presumably have receptors for retinoic acid.
The aged skin has certain reproducible features including epidermal atrophy, dysmaturation of the epidermis, irregular melanization of the epidermis, loss of the superficial elastic fiber plexus and the acquisition of abnormally produced elastic tissue referred to as solar elastosis with a commensurate attenuation in collagen production (Hornebeck W et al, 2003) (Reuben PM et al, 2001).
These are certain other natural plant-derived extracts where studies have suggested that they may function in a fashion that is analogous to the retinoic acids in terms of their inhibitory effects on metalloproteinases and other effects related to a reduction in inflammation. In addition, they may have additional effects that these botanical products could have on the skin such as enhancement of moisture retention and correcting dyschromia via reduced melanization.
Among these naturally occurring extracts are boswellic acid, curcumin, sea buckthorn extract, rice jasmine pedicle, red ginseng, viola tricolor, and white peony extract. These botanical agents have varied positive effects on the skin that would target certain pathways that contribute to aging.
A cream has been created that represents a combination of these valuable and effective botanicals containing boswellia, curcumin, rice jasmine pedicle, red ginseng, rice jasmine pedicle, sea buckhorn, viola tricolor, and white peony extract. All of these agents have potentially interesting and diverse effects that are relevant to skin replenishment. Niacinamide has also been added and while it is not a botanical extract it has certain beneficial effects that are synergistic with the aforesaid botanical extracts. In addition, naturally occurring fragrant oils of rose, jasmine, tuberose, and frankincense have been added to enhance its aromatic quality. The rose oil is at a concentration that could have beneficial cutaneous effects.
The name designation of Collesta was chosen because of its theoretical potential beneficial effects on the collagen and elastic fiber network of the skin.
The basis of the combined ingredients as a topical product that has the potential to enhance the intrinsic health of the epidermis and dermis will be discussed presently.
Each of the components of the cream will be discussed in some detail; emphasis will be given on the effects of each product for facial rejuvenation.